JOYEUX ANNIV’ SciFu!!!
nunsha oblige il a la priorité 19 piges ca se fete !
et n’oublions pas slopestyle et tox the rideuze pour leurs 18 ans, joyeux anniv’ a vous deux
JOYEUX ANNIV’ SciFu!!!
nunsha oblige il a la priorité 19 piges ca se fete !
et n’oublions pas slopestyle et tox the rideuze pour leurs 18 ans, joyeux anniv’ a vous deux
ouai good birtday mec nunsha…
et slopestyle aussi bon anniversaire
Joyeux anniversaire a scifuuuu
Membre du
Etoiledeninja crew
![]()
yes bon anni man!!! fais toi bien la fete… :rasta:
Pour ma part la galenterie passe avant Cela dit ça serait mon pote, j’aurais fait pareil que toi, à chacun son style
NOYEUX ZANNIV’ A Tox the rideuz et Slope Style
**Vous n’avez toujours pas le droit de fumer la pelouse du jardin mais vous pouvez maintenant picoler dessus et même y dormir, ya plus de couvre-feu ![]()
**
NOYEUX ZANNIV’ SciFu!!!
Bha toi à 19 tiges, tu peux même dormir sur le toit ou ne pas rentrer de la nuit et dormir dans le parking de la boite de nuit, Jje suis sur que personne ne se rendrait compte de rien
En tout cas profitez en chacun, sans modération
Votre équipement pour ce soir Si si Scifu aussi, je suis sur que tu vas plaire, tu vas même faire un malheur avec ça
bon anniv à tous les trois!
et profitez bien…
Oué enfin pauvre scifu qui c’est explosé aux 2Alpes…
Joyeux annif quand même!!!
merci les gens
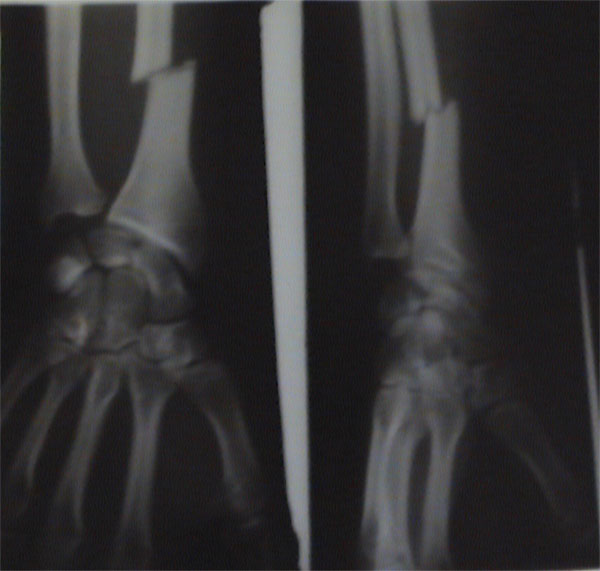
je tiens a remercier tout particulièrement les gens du Centre Hospitalier de Grenoble ki m’ont offert une magnifique plaque en fer et 6 vis pour mon bras ainsi qu’un superbe platre blanc !!
et comme y font pas les choses a moitié a grenoble, j’ai même eu la petite écharpe assortie pour porter le tout
jvous mettrai les fotos de mes cadeaux demin
Joyeux annifs a notre bricol’men!!
et pur finir une citation: " Il faut s’efforcer d’être jeune comme un beaujolais et de vieillir comme un bourgogne."
A mediter…
Bonne ANNIF
Aller, je te l’ai deja souhaiter, mais vaut mieux deux fois qu’une…
Joyeux annif man et bonne résup
BON ANNIVERSAIRE
décidement ça n’arrete pas les annifs…
Ha ouai quand même Quand tu pète quelque chose, tu le fait bien
Bien réparé en tout cas Sont bon au centre hospitalier de grenoble
LOL ton bras !!! tu va sonner quand tu vas passer sous des detecteurs… ils von te fouiller et tout
@ DOAIIM : c’est les meilleurs dans le genre pour réparer les accidents de montagne !! lol
Ah ouais pas mal en effet, tu as du le sentir passer.
En tout cas bon retablissement.
Yen a pour qui le jour de leur anniv, ils / elles se voient offrir un superbe bijoux qu’ils /ellles vont fièrement porter et faire briller au bras. Bha toi fierment ou pas, tu le porte mais ton superbe bijoux ne brillera pas au soleil cet été (ni cet hiver d’ailleur )
C’est une location ou c’est un bijoux à vie ton truc ?
HAPPY BIRTHDAY
c’est loué pour 1 an
Bha écoute, que te souhaiter de plus… Ahh si un prompt rétablissement